Pan talar arthrodesis

Pan Talar Arthrodesis: Restoring Stability and Function to the Foot

Pan talar arthrodesis is a surgical procedure aimed at relieving pain and restoring stability in patients with severe arthritis or other degenerative conditions affecting the joints of the foot. This procedure involves the fusion of the three main joints in the foot: the subtalar joint, talonavicular joint, and calcaneocuboid joint. It is typically considered when other treatment options, such as medications or less invasive surgeries, have failed to relieve symptoms.

What is Pan Talar Arthrodesis?

Pan talar arthrodesis is a type of foot fusion surgery designed to treat severe arthritis or deformity that affects multiple joints in the foot. The procedure involves the surgical fusion (joining) of the talus bone with the surrounding bones in the foot, including the tibia and fibula, to eliminate pain, improve function, and prevent further joint degeneration. By fusing the joints together, the patient’s foot becomes more stable, and pain from arthritis or other conditions is significantly reduced.

Conditions Treated with Pan Talar Arthrodesis

Pan talar arthrodesis is typically recommended for patients with severe foot arthritis or conditions that lead to significant pain and deformity. Some common conditions that may be treated with this procedure include:

  1. Severe Osteoarthritis: When arthritis has caused widespread joint damage, leading to significant pain, stiffness, and limited mobility.

  2. Post-Traumatic Arthritis: Arthritis resulting from previous fractures or injuries to the foot, leading to joint degeneration and instability.

  3. Rheumatoid Arthritis: An autoimmune condition that can affect multiple joints in the body, including those in the foot, causing pain and deformity.

  4. Flatfoot Deformity: A condition where the arch of the foot collapses, causing misalignment of the joints and leading to pain and instability.

  5. Charcot Foot Disease: A progressive condition where the bones in the foot weaken, potentially leading to deformity and fractures that require surgical intervention.

  6. Talar Fractures: Severe fractures of the talus bone, especially when conservative treatments are not effective in restoring function and relieving pain.

The Pan Talar Arthrodesis Procedure

The goal of pan talar arthrodesis is to fuse the joints of the foot to stop pain and restore the functional alignment of the foot and ankle. The procedure is typically performed under general or regional anesthesia, and the steps include:

  1. Pre-Surgical Evaluation:

    • Before surgery, your orthopedic surgeon will conduct a thorough evaluation, which may include physical exams, X-rays, and MRI scans, to assess the extent of the joint damage and determine if fusion surgery is appropriate.
  2. Surgical Procedure:

    • The surgeon makes an incision on the top or side of the foot to access the affected joints.
    • The damaged cartilage from the joints is removed, and the bones are prepared for fusion.
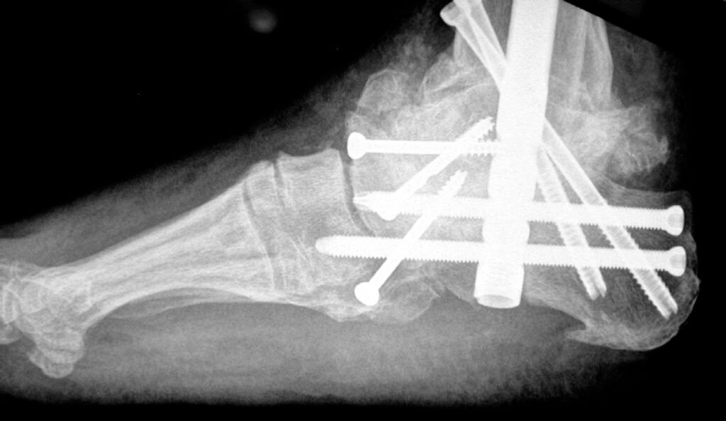
    • Metal plates, screws, or rods may be used to hold the bones in place while they heal.
    • In some cases, bone grafts may be used to promote healing and encourage fusion.
  3. Post-Surgical Care:

    • After surgery, you will be monitored in the hospital for a short period to manage pain and prevent complications.
    • The foot is usually placed in a cast or boot to immobilize the foot and allow the joints to heal. Crutches or a walker may be required to avoid weight-bearing on the foot initially.

Recovery and Rehabilitation

Recovery from pan talar arthrodesis typically takes several months, and the process is highly dependent on the individual’s health and adherence to rehabilitation guidelines. The general recovery process includes:

  1. Initial Recovery:

    • You will be advised to keep your foot elevated to reduce swelling during the first few weeks after surgery. Pain will be managed with prescribed medications, and you may need to wear a cast or boot to protect the foot.
    • You will be required to avoid putting weight on the foot initially, and crutches or a walker will help you navigate during the early stages of recovery.
  2. Physical Therapy:

    • After the foot has healed sufficiently, physical therapy will be necessary to restore strength, flexibility, and function. This may include exercises to improve ankle and foot mobility, followed by strengthening exercises to support walking and standing.
  3. Long-Term Care:

    • Full recovery can take 3-6 months, but this may vary depending on the patient’s healing process. You will need to follow-up with your orthopedic surgeon for regular checkups to monitor healing and ensure that the fusion is progressing as expected.
  4. Potential Complications:

    • While pan talar arthrodesis is a highly effective procedure, as with any surgery, there are potential risks, such as infection, blood clots, delayed healing, or non-union of the bones. It is important to follow post-surgical care instructions carefully to minimize these risks.

Benefits of Pan Talar Arthrodesis

  1. Pain Relief: One of the primary benefits of pan talar arthrodesis is the significant reduction or elimination of pain in the foot caused by arthritis, deformities, or joint degeneration.
  2. Improved Stability: By fusing the affected joints, the foot becomes more stable, preventing the risk of further injury and improving the ability to bear weight.
  3. Enhanced Function: While the surgery involves fusing the joints, many patients experience improved functionality in their foot, allowing them to resume regular activities and reduce the disability caused by foot instability or pain.
  4. Prevention of Further Deformity: This procedure helps prevent the progression of deformities and the development of additional complications from arthritis or trauma.

Who is a Candidate for Pan Talar Arthrodesis?

Pan talar arthrodesis is typically recommended for patients who:

  1. Have severe, debilitating arthritis or joint degeneration in multiple joints of the foot that has not responded to non-surgical treatments like medications, physical therapy, or injections.
  2. Experience chronic pain and instability that significantly affects daily activities or mobility.
  3. Have a history of trauma or fractures in the foot that has led to arthritis and foot deformity.
  4. Are otherwise in good health and can undergo a surgical procedure and its rehabilitation.

Your orthopedic surgeon will perform a thorough evaluation to determine if pan talar arthrodesis is the best option for you, based on your symptoms, medical history, and foot condition.

Why Choose Pan Talar Arthrodesis Surgery?

If you suffer from severe foot arthritis, deformity, or instability that affects your ability to walk or perform daily tasks, pan talar arthrodesis surgery may offer a solution. By fusing the damaged joints, this procedure can provide significant pain relief, improve stability, and restore function to the foot, allowing you to return to an active lifestyle with greater comfort.

Take the First Step Toward a Pain-Free Foot

If you are experiencing chronic foot pain or instability that has not responded to other treatments, pan talar arthrodesis may be the solution to restore your quality of life. Contact us today to schedule a consultation with an orthopedic surgeon and discuss whether this procedure is right for you.